Indications
INDICATIONS
Hand surgery, ‘rescue’ block for another brachial plexus block, post-operative analgesia.
Anatomy
ANATOMY
In the axilla, the median nerve lies superficially on the biceps side of the axillary artery. It crosses the artery in the lower arm to lie medial to the brachial artery in the antecubital fossa. In the forearm, the nerve passes deep to the superficial flexors, giving rise to the anterior interosseous nerve and more distally, a superficial palmar branch. It then enters the hand via the carpal tunnel.
Positioning
POSITIONING
Position the patient supine with arm abducted and elbow extended. Place the transducer transversely across the antecubital fossa at the level of the elbow crease. Identify the brachial artery (pulsatile anechoic), the median nerve lies medial to the artery as a distinct hyperechoic structure (ovoid or almond shaped), at a varying distance 0.5–2 cm, slightly deeper lying on the pronator teres muscle.
Figure 1: Patient, transducer and needle positioning for in-plane approach to median nerve of the right arm at a) the antecubital fossa and b) the mid-forearm.
Preliminary Scan
PRELIMINARY SCAN
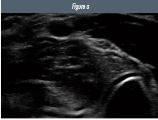
Identify the brachial artery (pulsatile anechoic). The median nerve lies medial to the artery as a distinct hyperechoic structure. It is oval shaped, at a varying distance 0.5–2 cm from the artery. It is seen lateral and deep to pronator teres muscle. The ‘peak’ of the medial epicondyle of the humerus can be seen medially.
Figure 2: a) ultrasound image of the median nerve and surrounding structures in the antecubital fossa b) annotated image (BA=brachial artery; MN=median nerve; PT=pronator teres muscle; Br=brachialis muscle; ME=medial epicondyle of humerus).
Ultrasound Appearance
ULTRASOUND APPEARANCE
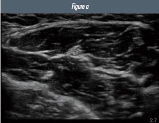
An ovoid, hyperechoic structure, with a speckled internal architecture. You will find it medial to the brachial artery. As you scan distally the median nerve travels deep and away from the artery. It can be traced into the middle of the forearm where it lies between the superficial and deep flexor muscles to the hand.
Figure 3: a) ultrasound image of the median nerve and surrounding structures in the mid- forearm b) annotated image (MN=median nerve; FDS= flexor digitorum super cialis; FDP= flexor digitorum profundus).
Technique
TECHNIQUE
Position the needle medial to the nerve. Inject 1 ml of local anaesthetic and observe the spread. If satisfactory, complete the injection.
Tips
TIPS
The median nerve only supplies cutaneous innervation to the hand, not the forearm.
If using an in-plane needle technique at the elbow then a medial to lateral direction helps avoid brachial artery puncture.
An out-of-plane needle technique may be preferable in the mid-forearm in order to avoid the radial nerve and artery or ulnar nerve and artery when using an in-plane technique from lateral or medial respectively.
The forearm takes innervation from the medial cutaneous nerve of forearm (medial cord), lateral cutaneous nerve of forearm (lateral cord – musculocutaneous nerve) and posterior cutaneous nerve of forearm (posterior cord – radial nerve). These nerves may be blocked in the axilla or separately at the elbow.
Text and images have been reproduced from the 2nd edition of the RA-UK Handbook, which can be purchased on Amazon, or is received on joining RA-UK. This excellent resource also contains practical descriptions of all of the advanced blocks referenced in the editorial.